Le Cerveau - est plus grand que le Ciel -
Mettez-les côte à côte -
L'un contient l'autre
Sans problème - et Vous - en plus -
Le Cerveau est plus profond que la Mer -
Tenez-les - Bleu pour Bleu -
L'un absorbe l'autre -
Comme l'Eponge - l'eau - d'un Seau -
Le Cerveau pèse exactement le poids de Dieu -
Soupesez-les - Livre par Livre -
La différence - si elle existe -
Est celle de la Syllabe au Son -
Emily Dickinson, Le Paradis est au choix,
extrait.
Il est bon de revoir ses fondamentaux à propos du cerveau.
Très peu compétent en anatomie et physiologie, je vous renvoie à deux sites vulgarisateurs de bonne qualité :
- on trouvera une description anatomique sur le site Anatomie humaine,
- on aura un aperçu assez complet sur le site généraliste Le cerveau à tous les niveaux, financé par l'Institut des neurosciences, de la santé mentale et des toxicomanies (INSMT), l'un des 13 instituts de recherche en santé du Canada (IRSC).
Les trois cerveaux
En fait nous n’aurions pas un… mais trois cerveaux qui retracent l'évolution de l'humanité :
- le cerveau reptilien (le cerveau des comportements de survie immédiate : boire, manger, se reproduire),
- le cerveau limbique (celui de l’affectivité, de la mémoire),
- le cerveau cortical (qui permet de créer, de réaliser un processus imaginaire… le propre de l’homme ?!).
Cette théorie du cerveau triunique - due à Paul Mac Lean (1969)- repose sur le fait que l'évolution du cerveau humain s'est faite en plusieurs phases, qui correspondent à l'apparition des différentes classes phylogénétiques d'animaux. Le cortex (écorce) cérébrale est la structure la plus récente, elle est située à la périphérie du cerveau. Il n'aurait que 3.6 millions d'années.
Le neurobiologiste (mais aussi étho(euto)logue, philosophe…) Henri Laborit (qui a inspiré le film d’Alain Resnais, Mon oncle d’Amérique) à repris, remanié et développé le concept de Mac Lean.
Il est l’auteur de nombreux ouvrages sur le fonctionnement du cerveau et des comportements qui en découlent. Dans « L’agressivité détournée », il décrit ainsi le rôle du cortex orbitalaire :
" Ce cortex orbito-frontal représente dans sa partie antérieure non spécifique, ce que nous avons souvent appelé " le mélangeur ". Mélangeur de quoi ? Mélangeur des éléments mémorisés, aboutissant à la construction de nouvelles structures. Nous savons que le vieux cerveau des mammifères en fait déjà tout autant à partir des acquis sensoriels. Le cortex orbitaire réalisera le " mélange ", l'association à un niveau d'intégration supérieur, à partir des images, en d'autres termes à partir des activités nerveuses, déjà intégrées dans le cerveau sous-cortical.
Mais ces associations ne se font pas au hasard, elles sont elles-mêmes motivées et elles le sont par des connexions sous-jacentes, par les affects, par les pulsions, les émotions et les expériences engrammées (Trace biologique de la mémoire)."
Henri Laborit, L'Agressivité détournée (1970)
Dans cette " Introduction A une Biologie du Comportement Social ", autre titre de l'ouvrage, le neurobiologiste propose, à partir du fonctionnement du cerveau, une origine pour nos
comportements :
Les trois étages du cerveau doivent fonctionner ensemble et, pour cela ils sont reliés par des faisceaux :
- le faisceau de la récompense (dont j’ai déjà pas mal parlé),
- le faisceau de la punition (qui débouche sur un comportement de fuite ou de lutte)
- le faisceau de l’inhibition de l’action.
A partir de ce fonctionnement complexe, on observe 4 types de comportements :
- le comportement de consommation. C’est le plus basique, il n’a pour but que d’assouvir les besoins fondamentaux,
- le comportement de gratification. On essaie de renouveler toute expérience qui aboutit au plaisir,
- le comportement en réponse à la punition : soit par la fuite qui l’évite, soit par la lutte.
Si la lutte est victorieuse, on retrouve le plaisir et la gratification, sinon retour à la case punition.
- le comportement d’inhibition qui provoque angoisse ou stress.
C’est ce comportement de loin le plus complexe, qui suscite depuis Freud le plus de travaux.
Pour Laborit, l’humain est donc totalement déterminé par sa biologie (je rajouterai que sa biologie est fonction de sa chimie !) et son milieu. Il ne peut exister entre individus que des relations de dominance.
Dans un ouvrage majeur, L’éloge de la fuite (1976), il écrit notamment :
- à propos de l’amour :
« Le mot de passe qui permet d’ouvrir les cœurs, les sexes, les sacristies et les communautés humaines. Il couvre d’un voile prétendument désintéressé, voire transcendant, la recherche de la dominance et le prétendu instinct de propriété… Il fournit une tunique honorable à l’assassin, à la mère de famille, au prêtre, aux militaires, aux bourreaux, aux inquisiteurs, aux hommes politiques.»
- à propos du bonheur :
« C’est bien dans la fuite vers l’imaginaire qu’il réside. »
- à propos de la liberté :
« Notion difficile à admettre que l’absence de liberté humaine, car elle aboutit à l’écroulement de tout un monde de jugements de valeur sans lequel la majorité des individus se sentent désemparés. L’absence de liberté implique l’absence de responsabilité, et celle-ci surtout implique à son tour l’absence de mérite, la négation de la reconnaissance sociale de celui-ci, l’écroulement des hiérarchies…
Ce que nous appelons liberté, c’est la possibilité de réaliser les actes qui nous gratifient, de réaliser notre projet, sans nous heurter au projet de l’autre. Mais l’acte gratifiant n’est pas libre. Il est même entièrement déterminé. Pour agir, il faut être motivé et nous savons que cette motivation, le plus souvent inconsciente, résulte soit d’une pulsion endogène, soit d’un automatisme acquis et ne cherche que la satisfaction, le maintien de l’équilibre biologique, de la structure organique…
La sensation fallacieuse de liberté s’explique du fait que ce qui conditionne notre action est généralement du domaine de l’inconscient, et que par contre le discours est, lui, du domaine du
conscient. C’est ce discours logique qui nous permet de croire au libre choix. Mais comment un choix pourrait-il être libre alors que nous sommes inconscients des motifs de notre choix,
et comment pourrions-nous croire à l’existence de l’inconscient puisque celui-ci est par définition inconscient ? »
Eloge de la Fuite, Henri Laborit
Mac Lean et Laborit ont depuis été critiqués, contestés… peu importe, ils ont ouvert un chemin qui est loin d’être une impasse.
D’ailleurs, Les trois cerveaux se multiplient !
La sexologue Catherine Solano, par exemple, parle d’un cerveau triunique à propos de sexualité : Le cerveau sexuel pulsionnel, Le cerveau sexuel émotionnel, Le cerveau sexuel cognitif.
Pour moi, il n’y a pas deux cerveaux identiques, il y a des milliards de cortex différents… Il n’y a pas non plus une forme d’intelligence, mais une infinité de formes d’intelligence.
Nous sommes d’ailleurs tous beaucoup plus intelligents que nous ne le pensons : nous sous-utilisons dramatiquement notre cerveau ! Je reviens à la citation initiale de Laborit : apprendre à comprendre le fonctionnement de son cerveau et apprendre à s’en servir, devraient constituer un objectif pédagogique primordial.
D'énormes consortium, regroupant parfois des milliers de chercheurs, s'activent sur la structure et le fonctionnement du cerveau humain. Plusieurs projets ambitieux ont été lancés dans les années 2000 :
- The Human Brain Project, lancé en 2013 par l'UE pour 10 ans, vient de s'achever.
Entre 2013 et 2023, 155 institutions de 19 pays ont travaillé ensemble en tant que partenaires principaux du HBP. Au total, le HBP a été financé avec un budget de 607 millions d'euros sur quatre périodes de financement, accompagné d'accords de subvention spécifiques.
Le HBP a produit plus de 3000 publications académiques et plus de 160 outils numériques, des applications médicales et technologiques, une infrastructure de recherche ouverte – EBRAINS – ainsi qu’une communauté multinationale et interdisciplinaire unique qui ne se serait pas réunie autrement.
- A noter aussi le travail de cartographie de la Société pour la cartographie et le traitement du cerveau (Society for Brain Mapping and Therapeutics - SBMT
- Le projet Blue Brain, piloté par l'Ecole Polytechnique Fédérale de Lausanne qui se consacre actuellement au cerveau de souris.
- “The Human Connectome Project’s neuroimaging approach”
Le Human Connectome Project (HCP) s'est attaqué à l'un des grands défis scientifiques du 21e siècle : cartographier le cerveau humain, dans le but de relier sa structure à sa fonction et à son comportement.
Il s'agit évidement d'un travail titanesque : le cerveau humain comprend entre 80 et 100 milliards de neurones, 1 000 à 10 000 synapses sont établies par chaque neurone du cortex. 100 000 milliards de signaux synaptiques seraient produits chaque seconde dans tout le cerveau.

Le cerveau des femmes est supérieur à celui des hommes sur au moins un point : il vieillit plus lentement.
Un groupe de chercheurs vient d'annoncer - dans la revue Science Advances - avoir découvert chez la souris un gène qui rajeunit le cerveau des femmes.
Les chercheurs, en étudiant la façon dont le cerveau utilise le sucre dans le sang, avaient déjà découvert que les cerveaux des femmes vieillissantes sont plus jeunes, en termes métaboliques, que ceux des hommes de la même catégorie.
D’autres scientifiques, en examinant les marques sur l’ADN, ont découvert que les cerveaux féminins sont environ un an plus jeunes que ceux des hommes.
Des études cognitives minutieuses menées sur des personnes âgées en bonne santé ont montré que les femmes avaient une meilleure mémoire et de meilleures fonctions cognitives que les hommes du même âge.
Le Dr Dena Dubal, professeur de neurologie à l’Université de Californie à San Francisco, auteur principal, indique qu'elle et ses collègues se sont concentrés sur le facteur qui différencie les femmes des hommes : le chromosome X. Les femmes ont deux chromosomes X, les hommes ont un chromosome X et un chromosome Y.
Au début de la grossesse, l'un des chromosomes X des femmes se désactive et ses gènes deviennent presque silencieux. Cette désactivation change avec l'âge.
Les chercheurs ont étudié l'hippocampe, un des piliers de la mémoire et de la cognition, qui se détériore avec l'âge et est atteint par la maladie d'Alzheimer.
En observant les hippocampes vieillissants, ils ont constaté que les gènes se réveillaient faisant référence aux chromosomes X silencieux.
L’étude a été réalisée sur des souris âgées, mais les chercheurs pensent que la découverte est applicable aux humains car les souris présentent les mêmes effets liés à l’âge sur le fonctionnement du cerveau, les femelles étant plus performantes que les mâles.
Son groupe s’est concentré sur un gène éveillé particulier, Plp1. Il produit une protéine qui fait partie de la myéline, une gaine graisseuse entourant les cellules nerveuses qui permet à l’information de circuler dans les deux sens.
Ils ont utilisé la thérapie génique en injectant dans l'hippocampe de souris mâles vieillissantes une dose de Plp1. L'équipe a alors constaté que les souris avaient retrouvé la mémoire et la cognition.
Le cerveau d'une mouche à fruits est plus petit qu'une graine de pavot, mais il renferme une complexité incroyable dans cet espace minuscule.
Plus de 140 000 neurones sont reliés entre eux par plus de 150 mètres de câbles.
Des centaines de scientifiques ont cartographié ces connexions avec des détails étonnants ; ils publient leurs résultats dans une série d'articles parus cette semaine dans la revue Nature.
Les auteurs présentent un schéma de câblage neuronal d'un cerveau entier contenant 5 × 10 puissance 7 synapses chimiques entre 139 255 neurones reconstruits à partir d'une femelle adulte Drosophila melanogaster. La ressource intègre également des annotations sur les classes et types de cellules, les nerfs, les hémilignages et les prédictions des identités des neurotransmetteurs

Excellente mise au point dans le journal Nature à propos de l'Imagerie Fonctionnelle par Résonance Magnétique (IRMf).
La technique utilise la circulation sanguine pour mesurer l'activité neuronale, sans injection d'un agent de contraste. Cette méthode, non invasive, permet donc d'explorer les zones profondes du cerveau.
En fait les chercheurs mesurent l'oxygène transporté dans le sang par l'hémoglobine et il est admis que les signaux obtenus sont liés à une demande accrue de sang oxygéné lorsque les neurones deviennent électriquement actif en réponse à une tâche.
Cependant de nombreuses questions restent posées comme le montre cet article.
Il y a près de 100 milliards de neurones dans le cerveau humain. Au cours des dernières années, d'énormes progrès ont été accomplis à propos de la structure, de la génétique, de la connaissance du rôle de ces cellules nerveuses.
Cependant, le coeur du fonctionnement du système nerveux central se situe au niveau de la connectivité neuronale, des liens tissés depuis les microcircuits jusqu'au réseaux régionaux du cerveau.
Pour traiter l'énorme quantité de données qui doivent être collectées pour analyser ces processus, de grands groupes de recherche ont récemment uni leurs forces pour former un véritable consortium.
La revue Science présente, dans sa livraison de novembre 2013, un numéro spécial tout à fait passionnant dans ce domaine.
Point de philosophie ici, mais de la science.
J'ai plusieurs fois signalé comment l'IRMf (fonctionnelle) permettait de lire dans notre cerveau à livre (presque !) ouvert :
VOIR :
- Image magnétique : de l'IRM au patient numérique,
Grâce à l'IRMf, l'activité électrique des neurones peut être suivie en temps réel.
Une équipe de chercheurs, dirigée par Enzo Tagliazucchi (Institut de psychologie médicale, Christian Albrechts Université de Kiel), vient de montrer combien l'activité cérébrale varie considérablement entre les états conscients et inconscients.
Les changements dynamiques observés en neuroimagerie entre différents états de conscience (sommeil, anesthésie, activité), témoignent de la façon dont le cerveau "explore l'espace de ses propres configurations possibles."
Les résultats obtenus suggèrent que, dans le cerveau, il y a un niveau optimal de connectivité entre les neurones, qui ouvre un nombre maximal de voies possibles.
Si chaque neurone peut être considéré comme un nœud dans un réseau, la conscience pourrait résulter de l'exploration de ce réseau de la manière la plus approfondie possible.
C'est en quel que sorte une signature de la conscience dans le cerveau que les chercheurs veulent mettre en évidence aujourd'hui.

Grâce à différentes techniques d'imageries, la cartographie ( encore grossière) du cerveau se dévoile peu à peu.
Il y a un siècle, le neurophysiologiste allemand Korbinian Brodmann avait recensé 52 aires différentes dans le cortex cérébral ; aujourd'hui les chercheurs identifient au moins 180 régions différentes, importantes pour le langage, la perception, la conscience, la pensée, l'attention et la sensation.
Le but de cette cartographie est - ni plus ni moins - de déterminer comment les 100 milliards (environ) de neurones du cerveau humain sont câblés.
Les images réalisées (notamment par IRM de diffusion/tractographie- e-MRI) sur 1200 jeunes adultes en bonne santé qui ont accepté de participer au Projet Human Connectome (consortium dirigé par l'Université de Washington, l'Université du Minnesota et l'Université d'Oxford - WU-Minn HCP) , a confirmé l'existence de 83 régions cérébrales connues et a ajouté 97 nouvelles.

La cartographie du cerveau est définie par la Société pour la cartographie et le traitement du cerveau (Society for Brain Mapping and Therapeutics - SBMT) comme l'étude de l'anatomie et du fonctionnement du cerveau et de la moelle épinière grâce à l'utilisation de l'imagerie (intra-opératoire, microscopique, endoscopique et l'imagerie multi-modalité).
Parmi les techniques d'imagerie son peut citer :
- les imageries utilisant la résonance magnétique (imagerie structurelle et fonctionnelle par résonance magnétique (IRMf) et l'IRM de diffusion (IRMd),
- la magnétoencéphalographie (MEG),
- l'électroencéphalographie (EEG),
- la tomographie par émission de positons (TEP),
- la spectroscopie proche infrarouge (NIRS).
Le but de cet article n'est pas de rentrer dans le détail de ces techniques, mais de montrer comment la numérisation des données qu'elles fournissent produisent... de véritables oeuvres d'art !

Santiago Ramón y Cajal était un biologiste espagnol, Prix Nobel de physiologie ou médecine en 1906 pour ses travaux sur l'organisation du système nerveux... mais aussi un artiste !
Cajal a soutenu que le système nerveux était constitué de milliards de cellules indépendantes mais interconnectées : c'est la « théorie du neurone », énoncée officiellement par Whilhem Waldeyer en 1891, et qui sera le fondement de toute la neurophysiologie moderne.
Après avoir renoncé à une carrière artistique, Santiago Cajal mis son talent de dessinateur au service de la science.
En utilisant la technique d’imprégnation argentique (méthode de Golgi), qui permet de colorer les neurones en noir et de laisser toutes les cellules environnantes incolores, il put démêler la constitution cellulaire du système nerveux.
Cette technique lui a permis par exemple de décrire différents types cellulaires composant le système nerveux et de découvrir une cellule alors inconnue, qui depuis porte le nom de qellule Interstitielle de Cajal.
Les dessins de Ramon y Cajal sont encore aujourd’hui dans plusieurs manuels de sciences, plus d'un siècle après leur réalisation.
Un spectromètre, quelques algorithmes ou un crayon et du papier... l'art est partout dans l'histoire des sciences !

Les chercheurs veulent faire encore plus fort : cartographier un cerveau en gestation.
Ils accumulent actuellement des milliers d'images de cerveau de foetus pour comprendre comment s'établissent les câblages neuronaux. Ils leur faut pour cela visualiser l'anatomie cérébrale, de l'embryon au nouveau-né.
Plus précisément le projet le plus avancé vise à établir les premières cartes 3D du cerveau humain entre 20 et 44 semaines de gestation.
Il s'agit d'une prouesse technique, notamment du fait qu'un foetus est toujours en mouvement, ce qui implique des corrections des données de l'IRM de diffusion par des calculs fort complexes.

Avec ce formidable travail, les scientifiques espèrent comprendre comment des dysfonctionnements tels que l'autisme, la paralysie cérébrale, les troubles du déficit de l'attention... peuvent s'installer.
LIRE :“The Human Connectome Project’s neuroimaging approach”
VOIR CI-DESSOUS
VOIR sur le SITE :

Le lundi 19 septembre 2016, 400 chercheurs en neurosciences, médecins, physiciens, bio-informaticiens, éthiciens,... conseillers scientifiques gouvernementaux, bailleurs de fonds, sont réunis à l'Université Rockefeller de New-York pour organiser et coordonner la recherche mondiale sur le cerveau.
Il s'agit là d'une première mondiale, à la hauteur du défi proposé.
Actuellement deux grands projets (que j'évoque ci-dessus) ont été initiés :
- le projet européen : the "Human Brain Project"
- le projet américain "Brain Initiative", lancé par le Pdt Obama en 2013.
Il est clair que le coût colossal de ces recherches (qui faisait grincer quelques dents en Europe) ne pouvait qu'inciter au rapprochement.
Lausanne - (EPFL)
NEUROPOLIS intègre la plateforme de simulation du Blue Brain Project et gèrera les ressources du supercalculateur à distance. La plateforme accueillera les immenses bases
de données nécessaires, dans le domaine des neurosciences.
On peut mettre en parallèle le travail de plusieurs consortiums sur le cerveau et la réalisation de superordinateurs simulant des millions de connections neuronales avec le HGP (Human Genome Project).
Par exemple le "Human Brain Project " porté par l'Ecole Polytechnique de Lausanne, qui est un des deux FET Flagships (projet phare) de l'Union Européenne, vise à construire un " cerveau artificiel".
Comme pour le HPG, de nombreuses équipes, - de toutes disciplines - sont impliquées : médecins, neuroscientifiques, physiciens, biologistes, informaticiens, bio-informaticiens, mathématiciens, statisticiens, chimistes, éthiciens, philosophes...
Le projet suscite néanmoins en Europe quelques controverses.
Les chercheurs disent avoir réalisé un cerveau simplifié de souris.
L'Amérique du nord n'est pas en reste. Des fonds considérables sont débloqués, notamment autour de " The Brain Initiative" soutenue par les instances fédérales : NIH, NSF, FDA... dont l'objectif est d'établir la carte des neurones du cerveau humain.
Les Canadiens de l'Université de Waterloo, développent le projet SPAUN (Sematic Pointer Architecture Unified Network) qui a pour but la réalisation du premier cerveau artificiel conçu à partir du modèle humain (un embryon à 2,5 millions de neurones a été décrit).
Enfin, il faut signaler les travaux de l'Institut des Neurosciences à La Jolla (San Diego) qui développe une approche théorique du fonctionnement du cerveau appelée modélisation neuronale synthétique ; une simulation informatique à grande échelle du système nerveux.

Quand on évoque le vieillissement du cerveau, on met plutôt en avant les aspects négatifs : pathologies lourdes comme la maladie d'Alzheimer, ou bien d'autres maladies neurodégénératives.
Pourtant, l'histoire propose maints exemples, dans tous les domaines, d'hommes et de femmes d'un 3ème âge "avancé", ayant conservé une grande créativité et une vivacité d'esprit remarquable.
Faut-il oublier Titien, Socrate, Léonard de Vinci et beaucoup d'autres ?
Un numéro spécial de la revue Science fait le point sur les mécanismes du vieillissement cérébral.

En vieillissant, notre cerveau se réorganise en permanence en réponse à de nouvelles expériences, heureuses ou douloureuses.
Même après des événements physiques ou psychologiques traumatisants, comme un accident vasculaire cérébral ou la disparition subite d'un être cher, l'étonnante plasticité du cerveau permet à tout âge de compenser (en partie) et de s'adapter.
Voir en particulier :
Plasticité du cerveau vieillissant : Nouvelles orientations en neurosciences cognitives.
Angela Gutchess, Sciences, 31 Octobre 2014 : 579 - 582
Le nouvel échec d'un candidat médicament, venant après beaucoup d'autres, confirme que les chercheurs sont encore très loin de la solution dans le traitement de cette pathologie redoutable et en pleine expansion.
Biogen à Cambridge (Massachusetts) et Esai à Tokyo qui développaient l'aducanumab viennent d'annoncer leur décision de suspendre leurs essais de phase III après avoir pris connaissance de l'avis d'un comité indépendant indiquant qu'il était peu probable que le médicament ralentisse le déclin cognitif comme prévu.
Cette molécule est un anticorps conçu pour se lier et éliminer les plaques collantes de β-amyloïde suspectées d'être à l'origine de la maladie en s'agglutinant autour des neurones, en bloquant leur communication et, finalement, en les tuant.
Pourtant la piste "anti amyloïde" semblait être la plus prometteuse...
Certains pensent que les plaques amyloïdes étaient déjà trop importantes dans l'échantillon utilisé pour l'essai clinique, constitué de personnes atteintes de formes précoces et légères de la maladie d'Alzheimer.
D'autres anticorps sont en cours d'études, notamment sur des patients asymptomatiques présentant une accumulation d’amyloïde (solanezumab, crenezumab)... avec des résultats actuellement décevants.
Parmi les approches non amyloïdes, des molécules ciblant la protéine tau qui s'accumule dans les neurones du cerveau des malades sont à l'étude... mais là aussi les chercheurs patinent... et reviennent au fondamental, c'est à dire à une meilleure connaissance du cerveau.
Les travaux récents sur la neurogenèse ont montré que la production de nouveaux neurones se poursuivait à l'âge adulte dans certaines zones du cerveau.
La neurogenèse adulte désigne l’ensemble des processus qui, à partir de la division des cellules souches neurales, donne naissance à des cellules capables de se différencier en neurones et de s’intégrer dans les circuits préexistants du cerveau.
Cependant, les recherches sur cette plasticité cérébrale sont toujours en développement, et parfois des résultats totalement contradictoires sont publiés dans des revues de très haut niveau, comme Nature.
Le débat sur l'existence d'une neurogenèse adulte dans l'hippocampe est en particulier passionnant.
Situé dans les lobes temporaux et appartenant au système limbique, l’hippocampe joue un rôle central dans la mémorisation et la navigation spatiale, un rôle déterminant dans la formation de nouveaux souvenirs d' événements vécus (mémoire épisodique).
Tout récemment des chercheurs du VA San Diego Healthcare System et de l'Université de Californie à San Diego, ont montré que l’hippocampe serait aussi responsable de la mémoire déclarative, c’est-à-dire la mémoire qui peut être verbalisée, et qui comprend la mémoire des faits en plus de la mémoire épisodique.
L'’existence d’une neurogenèse adulte dans l’hippocampe humain a d’abord été mise en évidence en 1998 puis confirmée par une vingtaine de publications.
Coup de tonnerre en 2018, Nature publie un article tendant à démontrer que la neurogenèse dans l'hippocampe ne se manifeste pas au-delà de l'enfance chez l'homme.
Mais quelques semaines après cette publication, Maura Boldrini et al (Université de Columbia, New York) mettent en évidence une production de nouveaux neurones dans l’hippocampe chez l’adulte sain, même âgé !
Les auteurs de cette étude ont utilisé des techniques de détection immunohistochimiques similaires à celles de leur prédécesseur.
Deux raisons sont invoqués par M. Boldrini pour justifier ces différences : elle n'a utilisé que des tissus cérébraux d'individus exempts de troubles psychiatriques ou neurologiques et pris en considération l'hippocampe entier.
Enfin, tout récemment (25 mars 2019) une publication en ligne vient confirmer ce dernier résultat en démontrant que la neurogenèse de l'hippocampe chez l'adulte est abondante chez les sujets neurologiquement sains et diminue fortement chez les patients atteints de la maladie d'Alzheimer.
Le fait que le tissu cérébral de personnes âgées de 52 à 97 ans, atteintes de la maladie d'Alzheimer, présente une baisse nette et progressive de la neurogenèse ouvre évidemment une piste : trouver le moyen de promouvoir la génération de neurones dans l'hippocampe des malades pour freiner et même inverser les déficits cognitifs.
Mais il y a loin de la coupe aux lèvres et le cerveau n'a pas encore livré tous ses secrets !

Sera-t-il bientôt possible de réparer certains de ces cerveaux présentant une pathologie ou bien même utiliser des neurones-robots ?
Pensez-vous qu'il sera bientôt possible d'atteindre la singularité ?
Pour comprendre ce qui se prépare pour votre cerveau, regardez ceci :
What is Singularity University?
... et lisez cela :
Ray Kurzweil: In The 2030s, Nanobots In Our Brains Will Make Us 'Godlike'
... mais ne croyez pas tout ce qui est écrit !
C'est évidemment beaucoup moins que les 86 milliards d'un cerveau humain, mais SPAUN (Semantic Pointer Architecture Unified Network), concocté par une équipe de l'Université de Waterloo (Canada), est déjà capable d'effectuer des raisonnements mathématiques simples.
Il se distingue des travaux de l'Institut du cerveau de San Diego (NSI, La Jolla) par une bien meilleure approche du fonctionnement réel de notre cerveau. De plus, il peut accomplir plusieurs tâches à la fois.
Pour son créateur, le professeur Chris Eliasmith, directeur du Centre for Theoretical Neuroscience à Waterloo :
" C’est le premier modèle qui commence à présenter la façon avec laquelle nos cerveaux peuvent effectuer une grande variété de tâches de manière flexible; comment celui-ci coordonne la circulation de l’information entre les différentes zones pour présenter un comportement complexe."
Lire aussi : Construire le cerveau humain , Christian K. Machens
" Tout comme les ingénieurs peuvent construire des voitures et des ordinateurs, car ils savent comment ils fonctionnent, nous serons en mesure de construire un cerveau [...], si nous comprenons les calculs qui sont effectués dans les diverses zones cérébrales, et la manière dont ces calculs sont mis en oeuvre au niveau des réseaux de neurones... "
La multiplication du nombre de connections neuronales est maintenant dépassée dans la course vers le cerveau artificiel !
Rappel : voir ci-dessus le projet Bluebrain de l'EPFL (Lausanne)
Quelques articles passionnants sur les "Mystères du cerveau", à lire dans la revue Science :
- fluiduité de la mémoire,
- bases neurales des différences de comportement et de la cognition,
- plasticité cérébrale, "recabler" le cerveau adulte,
- pourquoi les humains ont-ils de si grands cerveaux...

Écho la Nymphe qui aime tant à parler, et qui ne saurait jamais parler la première, ni se taire quand les autres parlent, aperçut un jour Narcisse à la Chasse.
Semblable aux autres Nymphes, elle n'était pas une simple voix, comme elle l'est aujourd'hui; elle était cependant dès lors également causeuse, et avait le défaut de ne répéter que les dernières paroles qu'elle entendait. C'était ainsi que Junon l'avait punie.
Narcisse s'étant égaré et ne voyant aucun de ses gens, se mit à crier, y a-t-il quelqu'un près de moi? Écho répondit, moi.
Cette voix l'étonne, il jette les yeux de tous côtés sans rien apercevoir; approchez donc, dit-il, d'un ton élevé: Écho répète les mêmes paroles, approchez donc; il regarde encore avec plus d'attention, et comme personne ne venait, pourquoi me fuyez-vous donc, dit-il? me fuyez-vous donc, lui répondit Écho.
Comme cette voix continuait à l'entretenir dans la même erreur, joignons-nous, dit-il, Écho, qui ne pouvait répondre à rien de plus touchant pour elle, dit, joignons-nous. Sur cela elle se mit à le suivre hors du Bois, dont il était sorti, espérant enfin de se jeter à son cou.
Narcisse cherchant a se débarrasser d'elle, ne croyez pas, lui dit-il, que je vous aime: La Nymphe répéta ces derniers mots, je vous aime.
Honteuse et confuse des refus de son Amant, Écho se retira dans le fond des Bois, et alla se cacher dans les lieux les plus épais. Depuis ce temps-là, elle n'habite plus que les Antres et les Rochers. Là, consumée par le feu de son amour, et dévorée par le chagrin que les refus de Narcisse lui avaient causé, elle tomba dans une langueur mortelle, et devint si maigre et si défaite, qu'il ne lui resta que les os et la voix; ses os même furent changés en rochers, et elle n'a plus que cette voix qu'on entend dans le fond des Forêts et des Cavernes où elle se tient cachée.
Toutes les autres Nymphes qui avaient voulu plaire à Narcisse, avaient essuyé les mêmes mépris que la belle Echo. Puisse-t-il, lui dit un jour une aimable personne qui ne pouvait plus supporter ses dédains, puisse-t-il lui-même éprouver toutes les rigueurs de l'Amour, et ne posséder jamais l'objet de sa tendresse!
La Déesse Némésis écouta une prière si juste, et l'exauça. Dans une Vallée charmante était une Fontaine dont l'eau extrêmement claire n'avait jamais été troublée ni par les Bergers ni par les Troupeaux: Environnée d'un gazon toujours vert, l'ombre des Arbres la défendait contre l'ardeur du Soleil. Invité par la beauté d'un lieu si charmant, Narcisse, que la chasse et la chaleur avaient extrêmement fatigué, vint un jour s'y reposer. Comme il voulait y éteindre sa soif, il fut attaqué tout d'un coup d'une autre espèce de soif bien plus dangereuse.
Narcisse devenu amoureux de sa propre image, qu'il avait vu dans une fontaine, et s'étant laissé mourir de langueur, les Dieux le changèrent en une fleur, qui porte encore son nom.

" Certains neurones très spécifiques, ne s’activent que si deux mouvements, saisie observée et saisie exécutée, sont réalisés de la même façon...
Des données neurophysiologiques (EEG, MEG, TMS) ainsi que d’imagerie cérébrale (TEP, IRMf) ont apporté de solides arguments en faveur de l’existence d’un système de neurones miroirs chez le sujet humain... " Giacomo RIZZOLATTI
J'ai déjà signalé diverses expériences qui montrent que les progrès de l'imagerie cérébrale permettent (presque !) de lire dans notre cerveau... à livre ouvert.
L'engouement pour ces fameux neurones miroirs (qui s'activent aussi bien aux actions de soi que d'autrui) découverts par Giacomo Rizzolati, a largement dépassé le seul domaine des neurosciences pour aborder le vaste continent des sciences humaines.
Les notions d'empathie (neurones de l'empathie pour V.S. Ramachandran) et le fameux "désir mimétique" de René Girard - que j'ai évoqué à plusieurs reprises - mais aussi le penchant (trop) humain pour l'imitation (voire la servitude volontaire dont j'ai aussi beaucoup parlé) se verraient ainsi objectivées (*).
Certains neurobiologistes disent aussi aujourd'hui que l'autisme serait lié à l'absence de certains neurones miroirs...
(*) : Voir ICI un bref entretien avec de Jean-Michel OUGHOURLIAN, collaborateur à Stanford de René Girard.
Neurones miroirs à toutes les sauces : notre goût... pour l'imitation, serait-il à l'oeuvre ?
A écouter et voir, ci-dessous, la passionnante conférence de Benoit Kullmann : " Narcisse, Echo et le mythe des neurones miroirs...". Un petit effort d'une heure que vous ne regretterez pas !
Cerveau - Conscience
"L’Éternel Dieu forma l’homme de la poussière de la terre, il souffla dans ses narines un souffle de vie et l’homme devint un être vivant."
Genèse, 2.7
Mais où se cache donc ce "souffle de vie" qui nous abandonne... à notre dernier soupir ?
Il est bien éloigné le temps de Descartes où l'on prétendait associer l'esprit, la conscience, l'âme... à une glande !
Mais alors comment expliquer qu'une conscience qui nous parait unique et singulière puisse émerger de multiples processus, gérés par différentes parties du cerveau ?
La complexité du cerveau est telle : 100 milliards de neurones, des centaines de milliards de connections synaptiques (125 trillions de synapses rien que dans le cortex cérébral), qu'il paraît fou de tenter de déterminer les mécanismes de la conscience et les parties du cerveau concernées.
Les neuroscientifiques peuvent voir les neurones s'activer et communiquer. Ils ont cartographié les régions du cerveau dont les connexions se déclenchent pendant la sensation, la prise de décision et la parole...
Mais à ce jour ils ne peuvent pas expliquer comment toute cette activité donne naissance à la conscience.
Cependant, des théories embryonnaires circulent. Aussi une fondation (La Templeton World Charity Foundation, TWCF) a décidé de lancer... un concours, doté de 20 millions de dollars pour tester la demi-douzaine de théories qualifiées de sérieuses.
Dans un premier temps deux propositions vont s'affronter :
- celle qui est défendue par Stanislas Dehaene du Collège de France à Paris (théorie de l’espace de travail global, GWT).
Elle postule "que le cortex préfrontal du cerveau, qui contrôle les processus cognitifs d'ordre plus élevé, comme la prise de décision, agit comme un ordinateur central qui collecte et hiérarchise les informations provenant des entrées sensorielles. Il diffuse ensuite les informations vers d'autres parties du cerveau qui effectuent des tâches."
Dehaene pense que ce processus de sélection est ce que nous percevons comme une conscience.
- celle proposée par Giulio Tononi de l’Université du Wisconsin à Madison (théorie de l’information intégrée, IIT), qui suggère que "la conscience découle de l'interconnexion des réseaux cérébraux. Plus les neurones interagissent les uns avec les autres, plus un être se sent conscient, même sans apport sensoriel."
Pour tester les systèmes, six laboratoires effectueront des expériences avec un total de plus de 500 participants, coûtant 5 millions de dollars à la fondation. Les laboratoires, aux États-Unis, en Allemagne, au Royaume-Uni et en Chine, utiliseront trois techniques pour enregistrer l'activité cérébrale pendant que des volontaires effectuent des tâches liées à la conscience : imagerie par résonance magnétique fonctionnelle, électroencéphalographie et électrocorticographie (une forme d'EEG réalisée pendant chirurgie, dans laquelle les électrodes sont placées directement sur le cerveau).
Dans une expérience, les chercheurs vont mesurer la réponse du cerveau quand une personne prend conscience d'une image. Le GWT prédit que l'avant du cerveau deviendra soudainement actif, alors que l'IIT indique que l'arrière du cerveau sera toujours active.

Une telle recherche peut paraître bizarre et plus propre à alimenter des débats philosophico-religieux que scientifiques.
En fait, la compréhension du processus qui permet à un être vivant d'être conscient, est devenue de plus en plus importante pour les chercheurs qui souhaitent communiquer avec des patients comateux, ou déterminer si des systèmes d’intelligence artificielle pourraient devenir conscients ou encore apprécier le niveau de conscience des animaux.
Historiquement, les recherches sérieuses commencent avec le début de l'imagerie médicale et deviennent de plus en plus en plus pointues au fur et à mesure que la qualité de ces images s'améliorent.
Ainsi, en 1995, le neuroscientifique Joseph Bogen, suggère, dans un article très spéculatif, que le thalamus (structure en deux parties située sur la ligne médiane du cerveau), pourrait bien héberger les neurones du "carrefour de la conscience". Il note que la formation de menues lésions dans les noyaux intralaminaires du thalamus provoquent typiquement un coma.
Cela dit, en conclusion de ses travaux il note : "Tenter d'observer la conscience revient à observer le vent... On ne peut en voir que les effets." !
Je vais directement à la publication la plus récente et qui me semble être la plus significative quant au fonctionnement de la conscience.
Il s'agit d'un article (Science Advances, 06 Feb 2019) qui rapporte les résultats d'une équipe internationale de chercheurs provenant de sept pays (Université de Liège en Belgique, Institut du cerveau et de la moelle épinière de Paris, INSERM, Universités de Paris-Saclay, de Barcelone, de Birmingham, Universités de Buenos Aires, de Western Ontario et du Weill Cornell Medical College à New York. Le professeur S.Dehaene, cité ci-dessus, fait partie des signataires.
Les auteurs ont tenu à préciser, de façon liminaire que leurs recherches se situent dans le cadre de "la position commune de diverses théories contemporaines qui suggèrent que la conscience se rapporte à un processus dynamique d’activité cérébrale autonome et coordonnée, facilitant l’adaptation à un environnement en constante évolution, plutôt que dans des descriptions statiques du fonctionnement du cerveau".
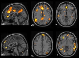
Ils ont notamment utilisé l'IRM fonctionnelle (qui repose sur le signal BOLD - Blood Oxygen Level Dependant - lié à l’aimantation de l’hémoglobine), pour étudier la façon dont les aires du cerveau communiquent entre elles. Quand une région du cerveau s'active, elle a besoin de plus d'oxygène et donc de plus de sang. Ces variations sont perçues même si les patients sont au repos. Les auteurs ont travaillé avec 53 patients à l'état végétatif, 59 en état de conscience minimale et 47 personnes en bonne santé (capables de réaliser des tâches d’imagerie mentale suivies par neuroimagerie).
Cela leur a permis d'identifier deux modèles de communication entre les régions du cerveau.
Chez des patients inconscients, des connexions simples, par exemple entre deux paires de régions ayant des liens directs de proximité, ont été mises en évidence.
En revanche, chez les personnes qui avaient un certain niveau de conscience, les interactions entre régions étaient plus dynamiques et beaucoup plus complexes. Ces chercheurs ont établis que « 42 régions du cerveau appartenant à six réseaux cérébraux jouaient un rôle important dans la cognition ». Ce réseau complexe d'interactions disparaissait quand les patients étaient plongés dans une anesthésie profonde, ce qui montre qu'il est bien caractéristique d'une forme de conscience.
Ces résultats établissent que la conscience repose sur la capacité du cerveau à maintenir une dynamique cérébrale riche et ouvrent la voie à la détermination d'empreintes digitales spécifiques et généralisables d'états conscients et inconscients.
La première étape dans la détermination de la conscience consiste donc à cartographier ces réseaux de connections complexes, qui s'activent dans un cerveau pensant.
Des recherches comme celle-ci peuvent potentiellement aider à comprendre comment des biomarqueurs objectifs peuvent jouer un rôle crucial dans la prise de décision médicale, dans le cas d'un coma profond par exemple. À l'avenir, il pourrait être possible de développer des méthodes pour moduler de manière externe ces signatures conscientes et rétablir un certain degré de conscience ou de réactivité chez les patients qui les ont perdues, par exemple en utilisant des techniques de stimulation cérébrale non invasives.

Le développement des techniques d’imagerie cérébrale, telles que le scanner, l’encéphalographie (EEG), et surtout l’imagerie par résonance magnétique (IRM de diffusion) que je viens d'évoquer, pourrait permettre d'associer des images à des comportements suspects, déviants ou violents (mensonge, manque d'empathie, intention de nuire...) ou à des troubles neuropsychiques... et même permettre de trouver la trace d'actes passés.
De telles images, issues de dossiers médicaux, sont déjà produites en justice, sans qu'un cadre légal soit clairement défini (ci-dessus).
VOIR AUSSI :
VOIR sur le BLOG
Que sait-on des mécanismes d'addiction sexuelle ?
Le cerveau dans tous ses états

Je suis une nouvelle fois bluffé par le travail des équipes de Google qui font feu de tout bois, dans les domaines scientifiques, médical, technologiques, artistiques... bref dans tout ce qui peut être impacté par les progrès des sciences numériques... c'est à dire dans beaucoup de choses !
Google s'investit actuellement dans l'intelligence artificielle et remet à la mode les réseaux de neurones artificiels (RNA) en vogue dans les années 60.
"Les RNA parviennent à reproduire certaines capacités de l’intelligence humaine à partir de neurones formels dont le fonctionnement est calqué sur celui des neurones biologiques. Il s’agit avant tout d’une tentative de modélisation des mécanismes élémentaires du cerveau humain dans ses capacités d’apprentissage, de mémorisation et de traitement de l’information."
Concrètement, le réseau de neurones est capable de classer de manière automatique des éléments d’un ensemble en différentes catégories.
Il permet également de construire des prévisions s’appuyant sur un jeu de donnée de départ. Enfin, il s’avère particulièrement performant pour la reconnaissance automatique de formes, d’images et de sons. C’est précisément dans ce domaine que Google l’utilise actuellement.
En médecine, où l'imagerie fournit des quantités astronomiques de données, une voie de recherche en plein essor est le « Machine Learning » (ML ou « apprentissage automatique ») :
« L’utilisation conjointe de quantités massives d’informations et d’algorithmes d’apprentissage relativement simples rend possible la solution de problèmes considérés il y a peu comme inaccessibles. »
Parmi les exemples spectaculaires de ML on peut évoquer la réalisation d’une voiture en conduite autonome... par Google !
Tout récemment les ingénieurs de Mountain View ont publié des résultats impressionnants sur la capacité d’apprentissage et d’interprétation de formes à partir d’une image d’entrée.
Le résultat de ces analyses par le RNA montre que le réseau fait preuve d’une « imagination » qui se situe entre le rêve, le mirage et l’hallucination psychédélique. On peut y voir aussi une forme de créativité artistique (le neuron-art) qui émerge de son... inconscient.
REGARDEZ LA GALERIE INCEPTIONNISTE DE GOOGLE