19- 04 - 2020
Les spécialistes qui suivent les malades COVID-19 dans les hôpitaux sont abasourdis par la violence des agressions subies par l'organisme :
"[La maladie] peut attaquer presque n'importe où dans le corps avec des conséquences dévastatrices... Sa férocité est à couper le souffle et même humiliante."
Harlan Krumholz - cardiologue - Université de Yale, hôpital de Yale-New Haven.
C'est la revue Science qui rapporte ce témoignage et donne un tableau effrayant des dégâts que ce nouveau virus peut provoquer.
Ames sensibles s'abstenir de lire !
Les médecins ont en effet maintenant assez de recul pour constater l'ampleur des dommages qui peuvent être occasionnés par le SRAS-CoV-2.
Je vais résumer, en simplifiant et en édulcorant.
Au début, certains évoquaient une "grippette", en fait chez certains malades, les poumons sont totalement détruits, les alvéoles pulmonaires ne peuvent plus transférer l'oxygène : ils développent un syndrome de détresse respiratoire aiguë (SDRA).
Les niveaux d'oxygène dans leur sang chutent et ils ont du mal à respirer. Sur les rayons X et les tomodensitogrammes, leurs poumons sont criblés d'opacités blanches où l'air ne passe plus.
Généralement, ces patients se retrouvent sous respirateurs. Beaucoup meurent. Les autopsies montrent que leurs alvéoles se sont remplies de liquide, de globules blancs, de mucus et de détritus de cellules pulmonaires détruites.
Puis, progressivement, les médecins se sont rendus compte que les défaillances d'un certain nombre d'organes affectaient de nombreux patients positif au COVID-19, sans symptômes respiratoires.
Le coeur est une cible de choix pour le tueur. Au début de la pandémie l'infarctus a eu bon dos. On sait maintenant qu'entre 20 et 40% (selon les études) des COVID-19 ont de très sérieux problèmes cardiaques.... qui au minimum laisseront des séquelles.
Les dommages semble s'étendre au sang lui-même.
Selon un article du 10 avril dans Thrombosis Research, parmi 184 patients COVID-19 dans une unité de soins intensifs néerlandais, près d'un tiers avaient déjà des caillots sanguins
Ces caillots peuvent atterrir dans les poumons, provoquant une embolie pulmonaire, ou se loger dans le cerveau, provoquant un accident vasculaire cérébral.
«Plus nous regardons, plus il devient probable que les caillots sanguins soient un acteur majeur dans la gravité et la mortalité de la maladie due à COVID-19» Behnood Bikdeli - Columbia University Medical Center.
Accessoirement, l'infection peut également entraîner une constriction des vaisseaux sanguins. On signale une ischémie dans les doigts et les orteils - une réduction du débit sanguin qui peut entraîner des doigts gonflés et douloureux et la mort des tissus.
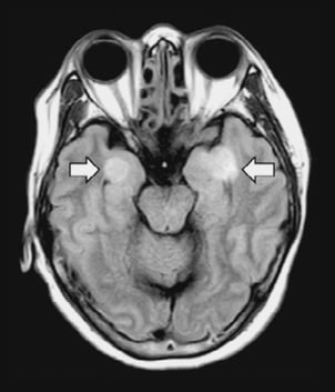
Un autre ensemble frappant de symptômes chez les patients COVID-19 se concentre sur le cerveau et le système nerveux central.
Les neurologues évaluent à 5% à 10% le nombre de leurs patients atteints de coronavirus dans leurs services. Mais ils pensent qu'il s'agit probablement "d'une sous-estimation flagrante" du nombre de patients dont le cerveau est en difficulté, en particulier parce que beaucoup sont sous sédation et sous ventilateurs.
Encéphalite, convulsions, pertes brèves de connaissance, perte d'odorat... témoignent que le cerveau n'est pas épargné.
Les insuffisants rénaux ont du souci à se faire !
«Si ces gens ne meurent pas d'insuffisance pulmonaire, ils meurent d'insuffisance rénale» Jennifer Frontera - Langone Medical Center de l'Université de New York.
Son hôpital a dû mettre au point un protocole de dialyse avec différents types de machines pour pouvoir prendre en charge les patients COVID-19.
Des rapports récents suggèrent que de 20 à 50% des malades - selon les études - souffrent de diarrhées.
La présence de virus dans le tractus gastro-intestinal augmente la possibilité inquiétante qu'il pourrait être transmis par les matières fécales, ce qui n'est pas démontré.
Ces multiples atteintes sont un souci en terme de contagion, puisque l'on pourrait hospitaliser des COVID-19, en cardiologie, en neurologie, en gastro-entérologie...et répandre l'infection.
Les chercheurs ont très vite mis à jour le processus déployé par ce coronavirus pour envahir les cellules.
L'enzyme de type 2 de conversion de l'angiotensine ou ACE2, récepteur de surface cellulaire, joue donc un rôle central in vivo dans les processus d'infection par le SRAS-CoV-2.
Dans tout le corps, la présence d'ACE2, qui aide normalement à réguler la pression artérielle, marque les tissus vulnérables à l'infection, car le virus nécessite que ce récepteur pénètre dans une cellule. Une fois à l'intérieur, le virus détourne la machinerie cellulaire, faisant des myriades de copies de lui-même et envahissant de nouvelles cellules.
On va donc retrouver le virus dans les tissus riches en ACE2 :
- d'abord dans le nez et la gorge,
- si le système immunitaire ne repousse pas le SRAS-CoV-2 pendant cette phase initiale, le virus descend ensuite la trachée pour attaquer les poumons, où il peut devenir mortel. Les branches les plus fines de l'arbre respiratoire du poumon se terminent par de minuscules sacs aériens appelés alvéoles, chacune bordée d'une seule couche de cellules qui sont également riches en récepteurs ACE2.
- Le virus pourrait attaquer directement la muqueuse du cœur et des vaisseaux sanguins, qui, comme le nez et les alvéoles, sont riches en récepteurs ACE2, mais ce n'est aujourd'hui qu'une hypothèse.
- Les récepteurs ACE2 sont présents dans le cortex neural et le tronc cérébral, mais on ne sait pas comment le virus pourrait pénétrer dans le cerveau et interagir avec ces récepteurs.
On comprend dès lors pourquoi les essais thérapeutiques en cours visent à bloquer la porte cellulaire utilisée par le SRAS-CoV-2 pour infecter ses hôtes et pour cela testent des molécules qui ciblent l'ACE2.
18- 04 - 2020
Victime d'une détresse respiratoire, sans doute liée au COVID, le chanteur Christophe avait interprété en direct "Daisy" avec la sublime Laetitia Casta.
C'est ce qui s'appelle mourir en beauté...
https://mytaratata.com/taratata/544/christophe-laetitia-casta-daisy-2020
17 - 04 - 2020
Une présentation très claire de ce que l'on sait aujourd'hui de la maladie : son évolution, les quatre profils de malades, les deux types de dysfonctionnement du système immunitaire dans les cas graves.
La responsable de l'essai clinique randomisé Discovery parle ensuite de ce projet.
Par le Pr Florence Ader, infectiologue au CRI Lyon.
13 - 04 - 2020

Comme de nombreuses autres affections respiratoires, le COVID-19 - la maladie causée par le SRAS-CoV-2 - peut varier considérablement d'un patient à l'autre.
La grande majorité des cas confirmés sont considérés comme bénins. Les dernières statistiques américaines indiquent que 81% des infectés identifiés n'ont pas ou peu de symptômes.
Par contre la maladie est mortelle chez 2,8% des hommes et 1,7% des femmes, selon des analyses très récentes (la taille de l'échantillon - 45000 cas - laisse cependant place à une marge d'erreur non négligeable). L'état respectif des poumons des deux sexes doit entrer en jeu dans cette différence de morbidité.
Quels sont donc les facteurs qui expliquent cette forte variabilité de la réponse à l'infection par le SRAS-CoV-2 ?
LE SEXE
D'une façon générale -selon une étude chinoise - 58% des malades COVID-19 sont des hommes.
Deux hypothèses sont émises : les hommes sont moins "propres" que les femmes, les femmes ont un meilleur système immunitaire grâce à leurs deux chromosomes X, qui pourraient avoir "une faculté protectrice dans certaines conditions" (hypothèse mise en doute par beaucoup).
L' AGE
La dernière étude américaine montre que les 75-84 ans ont près de 3 fois plus de formes graves nécessitant une hospitalisation que les 20-44.
Il est clair que les plus de 60 ans sont les plus touchés, souvent à cause de la présence de facteurs de comorbidité (insuffisance respiratoire, rénale, cardiaque, diabète).
LA GENETIQUE
Le SRAS-CoV-2, le coronavirus qui cause Covid-19, infecte les humains en se fixant à un récepteur particulier à l'extérieur des cellules appelé ACE2, qu'il utilise pour l'envahir (voir ci-dessous).
De légères variations dans le plan génétique de ces récepteurs pourraient jouer un rôle dans la maladie d'une personne.
Les variations du gène ACE2, qui altèrent le récepteur, pourraient rendre plus facile ou plus difficile la pénétration du virus dans les cellules, expliquent les l'immunologistes.
Un tel phénomène a été observé pour le VIH. Une mutation relativement courante dans une autre protéine de surface des cellules humaines , CCR5, rend certaines personnes très résistantes au VIH.
L'OBESITE, le SURPOIDS
L'obésité est considérée comme l'un des facteurs aggravants du coronavirus.
À la Nouvelle-Orléans, en Louisiane, où la proportion de personnes obèses atteint un niveau particulièrement élevé par rapport à la moyenne nationale américaine, le taux de mortalité lié au virus est deux fois plus élevé qu'à New York et quatre fois plus qu'à Seattle. Certes, il faudrait pondérer avec d'autres facteurs, néanmoins les formes graves chez les moins de 50 ans affectent surtout des patients en surpoids.
A l’hôpital Bichat à Paris, "plus de 80% des moins de 50 ans qui se trouvent en réanimation chez nous à cause du Covid-19 sont obèses". Pr Yazdan Yazdanpanah - Chef de service.
L'explication de ce phénomène n'est pas encore claire mais la piste d’une défaillance du système immunitaire chez les sujets obèses, est avancée par beaucoup de chercheurs.
De nombreuses études ont d’ailleurs déjà démontré le lien entre la présence importante de cellules graisseuses et une sur-réaction inflammatoire.
"On le sait désormais, beaucoup de patients obèses présentent un dysfonctionnement au niveau immunitaire...Lorsque nos cellules destinées à stocker les graisses — les adipocytes — se trouvent surchargées en gras, on a remarqué que des cellules du système immunitaire comme les macrophages pro-inflammatoires et les lymphocytes étaient attirées en grand nombre." Frédéric Altare, immunologiste à l'Inserm à Nantes.
LES VACCINATIONS ANTERIEURES
Curieusement, les chercheurs ont observé que les pays dans lesquels la vaccination contre le bacille Calmette-Guérin (BCG, responsable de la tuberculose) était obligatoire depuis longtemps, avaient moins de cas et de décès dus à Covid-19.
Les pays les plus durement touchés par la maladie, comme l'Italie, les Pays-Bas et les États-Unis, n'ont pas de programme de vaccination universel; d'autres, comme l'Iran, ont des programmes trop récents pour protéger la population âgée.
Des essais cliniques visant à tester l’efficacité du vaccin BCG contre le Covid-19 sont donc en cours, ou sur le point d’être lancés, dans les pays européens (Pays-Bas, Allemagne, France, Espagne…) et en Australie.
Il avait déjà été observé que le BCG avait un effet protecteur non spécifique contre les infections respiratoires chez les enfants. Les vaccins vivants comme le vaccin contre la rougeole ou encore le vaccin oral contre la polio, auraient aussi des effet bénéfiques non spécifiques sur certaines infections.
Ces vaccins stimuleraient la mémoire de l’immunité innée (voir ci-dessous).
Dans tous les cas ces différents facteurs impactent donc la réponse immunitaire, qui peut être trop faible, inadaptée, trop violente.
08 - 04 - 2020
Certains pays asiatiques (Singapour, Hong-Kong, Taiwan) utilisent systématiquement le "tracking" pour détecter au plus vite les nouveaux cas de COVID-19.
Cela passe par une application sur un téléphone portable qui permet de connaître très rapidement les personnes qui ont été au voisinage d'un cas suspect et de les tester ou de les isoler (image ci-contre).
A noter que Singapour, très tôt touché par la maladie, en raison du grand nombre de visites de personnes venant de la ville de Wuhan, qui a traqué et mis systématiquement en quarantaine les “personnes contacts”, a contenu la maladie de façon remarquable (266 cas et aucun décès au 20 mars), sans confinement généralisé.
Néanmoins, depuis 15 jours, un nombre important de cas ont été enregistrés sans que les contaminants aient pu être identifiés. Hier les autorités locales ont donc priés les Singapouriens de rester chez eux pour une durée de un mois.
Cela peut être une piste pour la sortie du confinement en Europe. Cela pose néanmoins des problèmes éthiques qui ne manqueront pas d'être soulevés.
07 - 04 - 2020
Phénomène hyper-inflammatoire, les "orages de cytokine" semblent jouer un rôle clé dans les cas graves de Covid-19.
Fièvre, fatigue, toux sèche ; dans 80% des cas le coronavirus SARS-CoV-2 provoque des symptômes "bénins ou modérés".
Mais parfois survient une gêne respiratoire qui peut conduire à un syndrome respiratoire aigu sévère (SRDA) nécessitant une hospitalisation (source : Organisation mondiale de la santé - OMS -).
Vers le 7ème jour, le COVID-19 peut alors prendre un tour dramatique avec un emballement du système immunitaire par production massive de cytokines (orage cytokinique) qui détruit les tissus pulmonaires.
Les toutes dernières recherches (" Nature, 06 avril 2020 : In the eye of the COVID-19 cytokine storm) montrent que des niveaux particulièrement élevés de trois de ces cytokines chez des malades COVID-19 (antagoniste des récepteurs CXCL10, CCL7 et IL-1) ont été associés à une charge virale accrue, une perte de la fonction pulmonaire, des lésions pulmonaires et une issue fatale.
Ces travaux sont très importants car ils vont permettre de rechercher les moyens de bloquer cette hyper inflammation.
Des essais de traitement avec des immuno-modulateurs ont démarré. L'AP-HP (hôpitaux de Paris) vient de lancer CORIMUNO-19.
L’étude a déjà inclus 223 malades depuis le 27 mars 2020. Les premiers résultats seront communiqués prochainement.
03 - 04 - 2020

La course au vaccin est lancée depuis plus de 3 mois et les choses avancent, au point qu'à Seattle, un chef d'entreprise, Jennifer Haller, a accepté de servir de cobaye pour le vaccin produit par Moderna - (voir ci-dessous).
A noter que le 30 mars, Johnson & Johnson a annoncé qu'au sein de son groupe, le laboratoire Janssen allait bénéficier d'un milliard de dollars (apporté pour moitié par des fonds fédéraux américains), pour développer un vaccin.
Le vaccin de Janssen est construit autour d'une version modifiée de l'adénovirus 26 (Ad26), qui provoque normalement des rhumes courants mais a été désactivée afin qu'elle ne puisse pas se répliquer. Les scientifiques ont intégré dans ce «vecteur» Ad26, un gène pour la protéine de surface du nouveau coronavirus (voir plus bas).
De nombreuses autres pistes sont explorées. Le français SANOFI travaille activement sur le sujet, il a noué des collaborations aux USA.
Sanofi Pasteur s’est ainsi associé avec le ministère américain de la Santé et des Services sociaux pour tenter d’accélérer le développement d’un vaccin à base de protéines recombinantes.
Ce laboratoire vient d' établir une seconde collaboration aux Etats-Unis en s’associant avec Translate Bio, dans le but de développer un vaccin à ARN messager (ARMm).
D'une façon générale, les chercheurs sont optimistes pour deux raisons :,
- ce virus mute peu, il a du mal à esquiver les réponses immunitaires.
- Ils sont maintenant à peu près sûr qu'une immunité peut être acquise.
En effet, contrairement aux virus provoquant les rhumes, le nouveau coronavirus cible les voies respiratoires inférieures, où la réponse immunitaire à un agent pathogène peut être plus forte.
"Lorsque vous obtenez une infection dans les poumons, vous obtenez en fait des niveaux élevés d'anticorps et d'autres cellules immunitaires de votre circulation sanguine dans cet espace." Mark Slifka, Oregon National Primate Research Centre.
Cependant, il faudra attendre 12 à 18 mois pour pouvoir vacciner massivement... sauf à brûler dangereusement les étapes !
Le consensus relayé par l'OMS sur le mode de transmission du virus commence à s'effriter et certains scientifiques (minoritaires) évoquent maintenant ouvertement la possibilité que le virus se propage dans l'air. Ceci expliquerait l'incroyable contagiosité du SRAS-CoV-2.
D'ores et déjà, à New York où l'épidémie flambe à une vitesse incroyable, le port du masque est recommandé.
Ces scientifiques disent qu'il existe des preuves préliminaires que la maladie puisse se propager dans les particules beaucoup plus petites de l'air expiré, sous forme d'aérosols.
Ils conseillent donc vivement de ventiler abondamment les lieux clos.
Dans cette hypothèse le port du masque pourrait également être fortement conseillé.
01 - 04 - 2020
" La vie est presque revenue à la normale dans une grande partie de la Chine. Les magasins, restaurants, bars et bureaux sont ouverts pour les affaires. L'activité manufacturière reprend. La circulation embouteille à nouveau les autoroutes des grandes villes. Les trois quarts de la main-d'œuvre chinoise étaient de retour au travail au 24 mars, selon les estimations d'une entreprise. Wuhan, où la pandémie COVID-19 est originaire, est à la traîne, tout comme le reste de la province du Hubei - mais même là, le verrouillage devrait se lever le 8 avril."
Ainsi commence un article de la revue Science (les reporting COVID-19 de Science sont soutenus par le Pulitzer Center) qui décrit le début du retour à la "normale" en Chine.
Même s'il semble que les autorités chinoises ont grossièrement menti sur l'ampleur de l'épidémie chez eux, leur approche pour sortir du confinement est attentivement observée par les pays qui sont encore au coeur de la crise sanitaire.
«La Chine s'attaque à un problème auquel tous les pays et lieux du monde seront éventuellement confrontés: comment normaliser et restaurer les activités de la société, tout en minimisant les dangers liés à l'épidémie».
Même si des millions de Chinois ont été visités par le coronavirus (selon l'Imperial College, 2 millions de Français ont été au contact du virus), la majeure partie de la population reste toujours sensible à l'infection et de nouvelles flambées restent possibles.
Les fonctionnaires assouplissent donc les restrictions très lentement et méthodiquement :
- les universités restent fermées,
- écoles et lycées ont rouvert hors des foyers de l'infection,
- les cinémas restent fermés, les grands rassemblement interdits,
- les tests sont systématiques et les mises en quarantaine automatiques en cas de suspicion,
- les prises de température sont obligatoire à l'entrée du métro et des entreprises,
- le télétravail reste encouragé,
- les frontières sont fermées ou étroitement contrôlées,
- les gestes barrières, les masques... sont obligatoires...
Les experts estiment que "la stratégie de la Chine semble avoir été efficace jusqu'à présent pour prévenir une résurgence"... " Mais avec le virus qui circule maintenant dans le monde, des importations répétées en Chine entraîneront inévitablement une transmission locale"... qu'il faudra détecter en temps réel.
Certains modèles "disent que la maladie reviendra une fois que les restrictions seront levées".
Bref, nous sommes très loin d'une sortie de crise.
30 - 03 - 2020
Ce que pensent à peu près TOUS les scientifiques sérieux de Didier RAOULT mais qu'ils n'osent pas dire...
c'est un jeune chercheur du CNRS (de l'Institut de Génétique Moléculaire) à Montpellier qui l'affirme face à la caméra. Bravo Hervé Seitz !!!
NB : cela ne veut pas dire que la chloroquine n'aura pas d'activité, mais que RAOULT n'a rien prouvé !
L'étude chinoise : Une petite étude de cas chinoise, randomisée, n'a pas observé de bénéfice de la chloroquine contre Covid-19 chez 30 patients atteints de formes modérées.
29 - 03 - 2020
C'est la dernière analyse des chercheurs de l'Imperial College of London qui l'affirme.
En l'absence de confinement et mesures barrières, le SRAS-CoV-2 aurait pu infecter 90% de la population mondiale indique cette publication (Report 12).
L'analyse précise que l'introduction de la distanciation sociale, du dépistage et de l'isolement des personnes infectées réduirait les décès dans le monde à 1,9 million, si elle était effectuée lorsque le taux de mortalité de chaque pays atteint 0,2 pour 100 000 personnes par semaine. Si la mise en œuvre de ces mesures intervient lorsque le taux de mortalité atteint 1,6 pour 100 000 personnes par semaine, alors 10,5 millions de vies seraient perdues dans le monde.
A noter que l’Italie a atteint le seuil de 0,2 du 2 au 3 mars, la France le 9 mars, le Royaume-Uni le 17 mars et les États-Unis le 22 mars, selon une étude exhaustive publiée par Nature.
Parmi les nombreux bilans rapportés (mis à jour le 28 mars), celui du rythme du doublement des décès est particulièrement inquiétant :
- 1 jour : Argentine,
- 2 jours : Suède,
- 3 jours : USA, Allemagne, Belgique, Suisse, Portugal, Brésil, Inde,
- 4 jours : France, UK, Pays-Bas, Espagne,
- 6 jours : Monde,
- 7 jours : Italie,
........................
- 42 jours : Chine
27 - 03 - 2020
BLOG :
Voila une phrase qui a le don de m'agacer prodigieusement et qui semble aujourd'hui plébiscitée par les Français.
A ceux-là je réponds : "Méritez-vous la vérité, vous qui allez comploter sur internet, qui relayez les pires bobards, qui accordez foi aux charlatans, qui vous gavez de pilules de sucre pour combattre le cancer ou la grippe...? "
26 - 03 - 2020
Monuments, musées, sites remarquables... profitez de votre confinement pour découvrir la beauté du monde et les plus belles réalisations humaines.
Pour cela il vous suffit d'accéder au remarquable site développé par Google :
Vous aurez notamment accès à des dizaines de musée du monde entier et aux plus grands tableaux de maîtres.
C’est la technologie Street View qui a été utilisée pour numériser en trois dimensions les expositions des musées. À l’origine, le site permettait d’observer les œuvres de 17 musées. Aujourd’hui, ce sont plus de 1 200 musées et centres d’archives qui ont collaboré avec l’Institut culturel de Google.
Pour vos enfants, un brin de culture et de beaux voyages virtuels, remplaceront avantageusement les dessins animés et les jeux vidéos !
PS = un conseil : transférez (castez) le bureau de votre ordinateur (ou de votre tablette) sur votre écran de télévision pour profiter de l'exceptionnelle qualité de ces images.
25 - 03 - 2020
Sale temps pour les plus de 70 ans !
Des chiffres effrayants circulent à propos de l'hécatombe dans les maisons de retraite. Certains responsables estiment que d'ici la fin de l'épidémie, les 100 000 morts pourraient être atteints.
Actuellement les décès dans les EHPAD ne sont pas comptabilisés dans les bilans quotidiens du ministère de la santé.
Le nouveau coronavirus SARS-CoV-2, à l'origine du COVID-19, est donc un pathogène très grave pour les personnes de plus de 60 ans.
En Italie, au 17 mars, 83% des personnes qui ont succombé à l'infection au COVID-19 avaient plus de 60 ans.
La raison est très simple : le système immunitaire vieillit.
Notre système immunitaire a deux composantes :
- le système immunitaire adaptatif, qui comprend les lymphocytes T et les lymphocytes B (les globules blancs).
Lors d'une infection, les lymphocytes B peuvent proliférer et produire des anticorps qui s'accrochent aux agents pathogènes et bloquent leur capacité à se propager. Les lymphocytes T reconnaissent les cellules infectées et les tuent.
En vieillissant, le système immunitaire adaptatif apprend à reconnaître (lymphocytes mémoires) les agents pathogènes et à les combattre.
- le système immunitaire «inné». Chaque cellule possède son propre petit système immunitaire qui lui permet de répondre directement aux agents pathogènes plus rapidement qu'il ne le faut pour mobiliser la réponse adaptative.
La réponse immunitaire innée est programmée pour agir sur des molécules que l'on trouve couramment sur les bactéries et les virus mais pas dans les cellules humaines. Lorsqu'une cellule détecte ces molécules envahissantes, elle déclenche la production d'une protéine interféron antivirale. L'interféron déclenche la mort de la cellule infectée, limitant l'infection.
En fait ces deux systèmes fonctionnent de concert : l'immunité adaptative est activée à la suite de la reconnaissance d'agents infectieux par le système immunitaire inné. Le système immunitaire adaptatif va alors donner une réponse adaptée à l'agent infectieux, et une réponse mémoire permettant une élimination plus efficace de ce même agent infectieux si l'organisme y est de nouveau confronté.
Lorsqu'un pathogène investit l'organisme, c'est une compétition entre la vitesse à laquelle il peut se propager, et la vitesse à laquelle votre système immunitaire peut réagir sans causer trop de dommages collatéraux.
À mesure que les gens vieillissent, leurs réponses immunitaires innées et adaptatives se dégradent :
- les monocytes d'individus âgés produisent moins d'interféron en réponse à une infection virale. Ils ont plus de mal à éliminer les cellules infectées et à déclencher la réponse immunitaire adaptative.
- Une inflammation chronique à bas bruit, souvent présente pendant le vieillissement, peut également affaiblir la capacité des réponses immunitaires innées et adaptatives à réagir aux agents pathogènes.
Ce bruit de fond altère la capacité du système immunitaire à réagir vite.
Les virus peuvent profiter de ce démarrage paresseux de votre système immunitaire et vous submerger rapidement, entraînant des maladies graves et la mort.
22 - 03 - 2020
Dernière minute : Un essai clinique européen -DISCOVERY- destiné à évaluer quatre traitements expérimentaux contre le Covid-19 démarre aujourd’hui.
Coordonné par l’Inserm (France) dans le cadre du consortium Reacting, cet essai inclura au moins 800 patients français atteints de formes sévères du COVID-19. A court terme, Il est prévu d’inclure 3200 patients européens incluant la Belgique, les Pays-Bas, le Luxembourg, le Royaume uni, l’Allemagne et l’Espagne.
L’essai DISCOVERY démarre avec cinq modalités de traitement :
- soins standards
- soins standards plus remdesivir,
- soins standards plus lopinavir et ritonavir,
- soins standards plus lopinavir, ritonavir et interféron beta
- soins standards plus hydroxy-chloroquine.
L’attribution des modalités de traitement se fera de façon randomisée, c’est à dire aléatoire, mais patients et médecins sauront quel traitement est utilisé (on parle alors d’essai ouvert). L’analyse de l’efficacité et de la sécurité du traitement sera évaluée 15 jours après l’inclusion de chaque patient.
De son côté l'OMS lance SOLIDARITY au niveau mondial qui concerne les mêmes molécules plus la chloroquine.
VOIR (ci-dessous) au 19 03 2020 : Thérapie
Aujourd'hui, l'estimation de la proportion de personnes infectées par le coronavirus, mais ne présentant pas de symptômes, est une des priorités pour les chercheurs.
En effet, les personnes infectées présentant des symptômes légers ou nuls peuvent transmettre le virus. On suppose que ce nombre est considérable ; certaines des premières estimations de ces cas cachés, suggèrent qu'ils pourraient représenter environ 60% de toutes les infections.
Le feu couve donc sous les cendres et pourrait provoquer à tout moment un rebond de l'épidémie.
Ce décompte complexe ne doit évidemment pas prendre en compte les cas "précliniques ' dans lesquels les gens incubent le virus mais ne présentent pas encore de symptômes, pas plus que les malades qui n'auraient pas été testés.
Des chercheurs chinois et américains ont présenté une prépublication en ligne le 6 mars dernier qui indique que, selon l'estimation la plus prudente, 59% des personnes infectées à Wuhan (épicentre de la pandémie) were out and about, c'est à dire capables d'infecter des populations extérieures.
Ils estiment qu'au 18 février, il y avait 37 400 personnes atteintes du virus à Wuhan, dont les autorités n'avaient pas connaissance.
«Cela peut expliquer pourquoi le virus s'est propagé si rapidement au Hubei et circule désormais dans le monde entier.» Wu Tangchun, Université des sciences et technologies de Huazhong à Wuhan.
Ces résultats sont ils fiables ?
Pour Adam Kucharski, un modélisateur de la maladie à la London School of Hygiene and Tropical Medicine.
"Il s'agit de l'analyse la plus récente du meilleur ensemble de données dont nous disposons... et la méthodologie est solide."
Pour d'autres, "en supposant que chacun de ces cas peut contaminer le même nombre de personnes, le modèle majore peut-être le résultat... qui cependant doit-être de cet ordre." Gerardo Chowell, mathématicien épidémiologiste à la Georgia State University à Atlanta.
Le travail le plus probant a été réalisé par le Docteur Chowell sur ce bateau, qui a connu une épidémie de COVID-19 début février, dans les eaux japonaises.
Le navire a été mis en quarantaine et les 3 711 passagers et membres d'équipage ont été testés à plusieurs reprises et étroitement surveillés.
L'étude de modélisation de Chowell , publiée le 12 mars dans Eurosurveillance, montre qu'environ 18% des quelque 700 personnes infectées dans le Diamond Princess n'ont jamais présenté de symptômes.
Cependant cette population n'est pas représentative car elle comportait beaucoup de personnes âgées, qui développent beaucoup plus facilement la maladie. Le Dr Chowell estime donc à plus de 30% le nombre de personnes asymptomatiques et n'exclut pas des pourcentages supérieurs à 40%.
EXTRAITS de la Revue NATURE en ligne du 20 mars 2020 :
"Excrétion virale
Les personnes présentant des symptômes légers ou nuls peuvent-elles infecter les autres? Dans une étude préimprimée publiée le 8 mars, une équipe basée en Allemagne a montré que certaines personnes atteintes de COVID-19 présentaient des taux élevés de virus dans les écouvillonnages de la gorge au début de leur maladie, lorsque leurs symptômes étaient légers. Cela signifie que l'agent pathogène pourrait facilement être libérés par la toux ou les éternuements - un processus connu sous le nom d'excrétion virale - et se propager à d'autres."
" Une autre équipe, en Chine, a détecté des charges virales élevées chez 17 personnes atteintes de COVID-19 peu après leur maladie. De plus, un autre individu infecté n'a jamais développé de symptômes mais a répandu une quantité de virus similaire à ceux qui étaient symptomatiques, rapportent les chercheurs dans le New England Journal of Medicine" (du 20 mars 2020).
"De nombreux scientifiques craignent que cela n'ait pu conduire à une sous-estimation de la sensibilité des enfants au virus. Une étude menée auprès de plus de 700 enfants infectés en Chine a révélé que 56% présentaient des symptômes légers ou nuls."

Il faut bien avoir en tête que le nombre de cas affiché ci-dessus, n'a qu'une valeur très relative. Ainsi, les USA sont passés de quelques cas il y a une semaine...à près de 20 000 ce 20 mars, tout simplement parce que l'imbécile qui siège à la Maison Blanche et ses affidés à la tête de nombreux états américains, négligeaient les tests.
En Europe les chiffres annoncés sont à mettre en regard du nombre de tests pratiqués. Le calcul de la létalité calculé à partir des cas confirmés ne veut rien dire.
Quand l'Allemagne testait 35 000 personnes par semaine, la France ne dépassait pas 5000 tests.
Plus significative est la comparaison du nombre des décès en fonction des premiers cas signalés dans chaque pays.
Libé à établi le calendrier ci-contre pour la France, l'Italie et l'Espagne en notant les dates des mesures restrictives prises dans ces pays.
Ces courbes doivent être lues en prenant en compte le point de départ de l'épidémie, sachant qu'en moyenne le décès survient 17 jours après le diagnostic.
Dans les trois cas la progression est assez effrayante, en particulier pour l'Espagne.
En France au jour + 22 (18 mars 2020) il y avait 244 décès contre 623 en Espagne au jour + 15. Les Espagnols ont dû manquer le départ !
A noter quand même que selon l'OCDE, l'Allemagne qui ne compte aujourd'hui que 73 décès pour 22 000 cas identifiés, dispose de 6 lits en soins intensifs pour 1000 habitants, quand la France n'en a que 3,1, l'Italie 2,6 et l'Espagne 2,4 (statistiques de 2018).
Nous venons de le voir, il est très important de connaître l'étendue de la pandémie et la façon dont les populations peuvent s'immuniser, pour essayer éteindre l'incendie actuel et prévoir de possibles rebonds.
Les réponses ne seront pas données par les tests actuels qui recherchent la présence de gènes viraux dans un écouvillonnage du nez ou de la gorge.
Pour cela, les chercheurs doivent mettre en place des tests sanguins capables de détecter la présence d'anticorps dirigés contre le nouveau virus.
Ces tests devront également signaler des infections actives, mais plus important encore, dire si une personne a été infectée, puisque l'organisme conserve des anticorps contre les agents pathogènes qu'il a déjà affrontés..
Les laboratoires du monde entier cherchent donc à développer des tests d'anticorps. Certains sont utilisés dans des études restreintes. La Chine a même donné une approbation commerciale pour quelques uns. Cela reste néanmoins très limité.
Cependant, il ne s'agit que d'une question de temps. (Hélas le temps manque aux chercheurs qui sont engagés dans une véritable course contre la montre !)
Déjà, une alternative à la mise au point de tests commerciaux a été publiée par Florian Krammer et son équipe de virologues à l'École de médecine Icahn du Mont Sinaï (New York City). Il s'agit d'une préimpression du 17 mars 2020 qui décrit un test d'anticorps SARS-CoV-2 et les instructions pour le reproduire.